VIETNAMESE
hội chứng đông đặc phổi
phổi đông đặc
ENGLISH
pulmonary consolidation
/ˈpʌlmənəri kənˌsɒlɪˈdeɪʃən/
Hội chứng đông đặc phổi là tình trạng nhu mô phổi bị xốp, một vùng phổi bị tăng tỷ trọng nên dễ bị tổn thương, sưng viêm hơn.
Ví dụ
1.
Viêm phổi là nguyên nhân phổ biến nhất gây ra hội chứng đông đặc phổi.
Pneumonia is the most common cause of pulmonary consolidation.
2.
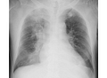
Hội chứng đông đặc phổi dễ dàng nhận thấy nhất trên phim chụp X-quang.
Pulmonary consolidation is most easily seen on an X-ray.
Ghi chú
Cùng Dol học một số từ vựng liên quan đến triệu chứng của hội chứng đông đặc phổi nhé: - rapid breathing: thở gấp - fatigue: sự mệt mỏi - fever: sốt - bloody sputum: đờm có máu - dry cough: ho khan - noisy breathing: thở thành tiếng
Danh sách từ mới nhất:
Xem chi tiết



